MRT
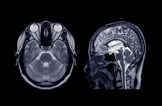
Die Magnetresonanztomographie (MRT) ist ein modernes, komplett von Röntgenstrahlen freies Untersuchungsverfahren. Ganz besonders geeignet ist dieses Verfahren für die Abbildung der Weichteilstrukturen des Körpers (Gehirn, Rückenmark, Sehnen, Muskeln, Bandscheiben, Leber, Nieren, Bauchspeicheldrüse, Milz, etc.) Auch knöcherne Strukturen wie Wirbelkörper, Gelenke und ihre Anteile wie Meniskus im Knie und Bänder der Gelenkkapseln sind sehr gut abbildbar.…

