MRT
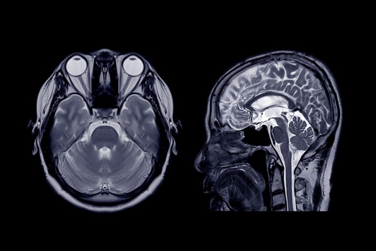
Die Magnetresonanztomographie (MRT) ist ein modernes, strahlungsfreies Bildgebungsverfahren, das vollständig ohne Röntgenstrahlen auskommt. Sie eignet sich in besonderem Maße zur detaillierten Darstellung von Weichteilstrukturen wie Gehirn und Rückenmark, Sehnen und Muskeln, Bandscheiben sowie inneren Organen wie Leber, Nieren, Bauchspeicheldrüse und Milz. Darüber hinaus lassen sich auch knöcherne Strukturen wie Wirbelkörper und Gelenke sowie deren Bestandteile…
